SEOUL THE NATURE

The Digital Paradigm — Seoul The Nature Dental Clinic

When skilled clinicians meet digital technology, results closer to perfection become possible.

  • What makes our digital system special?

    Seoul The Nature Dental Clinic has adopted state-of-the-art equipment and digital technology. This contributes significantly to reducing treatment time, recovery periods,
    and the number of clinic visits
    across most treatments. The digital system provides clinicians with real-world data to support their medical judgment and experience, resulting in reduced procedural margin of error and more precise, healthier outcomes. Sophisticated digital technology, combined with our experienced clinical team.

SEOUL THE NATURE

Digital System Highlights

Seoul The Nature Dental Clinic diagnoses with precision,
based on accurate data — not guesswork.

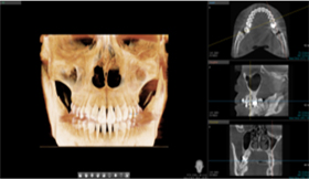
  • Precise imaging of the patient's alveolar bone and jawbone condition via 3D CT scanning for accurate diagnosis
  • Dental impressions taken with a digital intraoral scanner instead of cumbersome conventional plaster impressions
  • Digital 3D CT

    Following a detailed examination of the oral structures including teeth and alveolar bone, 3D CT imaging is used to evaluate key neural pathways and anatomical structures.

  • Digital Intraoral Scanner

    To accurately assess the condition of teeth, a 3D digital intraoral scanner is used to capture precise dental data. Integrated with our digital prosthetic fabrication system, this enables faster and more accurate treatment outcomes.

Preserving Natural Teeth with Fluorescence Technology
for Surface Caries Detection

By combining two light sources to detect surface caries,
the resulting data enables early prevention of dental decay.

For implant cases?

Digital Navigation Implant Procedure

A virtual simulation surgery is conducted based on 3D CT data
to plan the optimal implant placement position. A custom surgical guide is then fabricated to enable
highly accurate implant placement.

Consultation

Quick Consultation