SEOUL THE NATURE
The Nature Implant System is Different.
Another level of implant treatment, available at Seoul The Nature Dental Clinic.
Why are implants at Seoul The Nature Dental Clinic so well known?
01
POINT
More than
10,000 cumulative
implant placements
with zero major medical accidents
Skilled dentistry is proven by results. This is why so many patients choose implants at Seoul The Nature Dental Clinic.
-
Recognized for high-volume Osstem implant placement
-
Recognized implant treatment clinic
-
Osstem research advisory dental clinic

Implants last longer
when you choose
Seoul The Nature Dental Clinic.
-
An ethical clinic focused on preserving natural teeth Unnecessary treatment no need to worry
-
Pain-reduction system for comfortable implant placement Fear no need to worry
-
Extensive clinical experience, including advanced cases Safety no need to worry
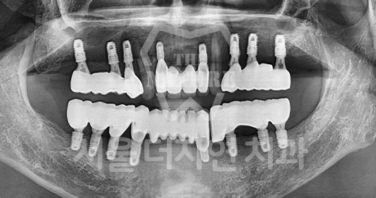
Various Implant Treatment Cases
#Full Mouth Implants
-
BEFORE: 2022.12.15
-
AFTER: 2023.02.23
#Sinus Lift
-
BEFORE: 2021.02.01
-
AFTER: 2021.05.13
#Maxillary Bone Grafting
-
BEFORE: 2021.11.02
-
AFTER: 2022.01.19
Treatment outcomes may vary by patient,
and side effects may occur.
These images were taken under the same conditions,
and were published with the patient's consent.
02
POINT
With a flapless technique that significantly reduces swelling, pain, and bleeding, recovery is faster after surgery.
Flapless implant placement is a method in which
the implant is placed without making a gum incision.
It can be performed when bone grafting is not required
and there is sufficient attached gingiva.
Because swelling, pain, and bleeding are reduced,
patients can usually return to daily life the very next day.
-
Incision Method
-
Flapless Method
More bleeding and |
Swelling / |
Minimal swelling and |
Higher risk of |
Risk of Infection |
Reduced risk of |
Longer recovery period |
Recovery Time |
Faster recovery |
-
-
03
POINT
Surgery? No longer something to fear. Sedation implant treatment that feels over when you wake up.
At Seoul The Nature Dental Clinic, implant placement can be performed in a relaxed, sedated state that feels like sleep. Using the same principle as sedation endoscopy, comfortable treatment is possible.
-
Conscious Sedation
Rather than risky general anesthesia, treatment is performed in a safe, consciously sedated state.
-
Reduced Fear and Pain
Fear and discomfort are reduced, allowing treatment in a relaxed and comfortable state, almost like sleeping.
-
Reduced Dental Anxiety
Because of the amnesic effect, patients wake up without unpleasant memories, and can usually return home shortly after treatment, similar to sedation endoscopy.
04
POINT
With no adhesive cement used, inflammation and side effects are reduced
Hynes Implant
The Hynes implant system does not use adhesive cement, which can become a cause of gum inflammation and prosthetic detachment. As a result, the risk of peri-implantitis and prosthetic loosening can be reduced. Because plaque and calculus accumulate less easily, the implant can be used more safely for a longer period of time.
-
Fully Digital Workflow
From scanning to prosthesis fabrication, digital technology is applied to achieve faster and more precise treatment.
-
Cement-Free Connection Method
Because cement is not used during placement, the possibility of inflammation and revision surgery due to residual cement is dramatically reduced.
-
Dual Safety Structure
With double secure fixation between the crown and abutment, follow-up care is easier and maintenance is more convenient.
-
Reduced Risk of Complications
With accurate fixation and a safe structure, the risks of peri-implantitis and prosthetic fracture are reduced.
05
POINT
An implant that bonds with bone more quickly
Plasma Implant
A next-generation technology that cleans the surface, accelerates osseointegration, and improves implant success.
What Is a Plasma Implant?
Using plasma technology, impurities are removed from the implant surface, improving biocompatibility, accelerating bone integration, and shortening recovery time.
Outstanding performance of plasma implants
demonstrated by Harvard School of Dental Medicine researchers
According to research conducted by the Harvard School of Dental Medicine, plasma implants showed excellent osseointegration, reduced bone loss, shorter healing time, and improved long-term stability.
Why plasma surface treatment
is essential
During the manufacturing, transportation, and long-term storage process, hydrocarbons can accumulate on the implant surface over time, reducing biocompatibility. Plasma implants use high-energy plasma to remove these hydrocarbons and reactivate the surface to restore high biocompatibility.
Plasma implants,
the key to faster recovery
-
Enhanced Osseointegration Speed
Surface activation through plasma cleaning -> faster bone integration -> shorter recovery period
-
Removal of Bacteria and Contaminants
99.9% removal of microscopic contaminants minimizing inflammation and infection risk
-
Improved Biocompatibility
Plasma treatment improves surface hydrophilicity -> enhanced blood and protein adhesion -> an implant more readily accepted by the body
-
Improved Primary Stability
Improved attachment of bone cells helps secure greater implant stability
Plasma implants,
recommended for the following patients
-
Low Bone Density
For patients with low bone density or advanced age
-
Fast Recovery
For patients who need quicker recovery in a busy daily life
-
Systemic Conditions
For patients who need careful treatment planning due to diabetes, hypertension, or other systemic disease
06
POINT
Not all Osstem implants are the same.
At Seoul The Nature Dental Clinic,
among Osstem implants,
we use only the premium lines SOI and BA implants.
The higher the grade, the greater the hydrophilicity,
allowing faster bone formation
SOI implants with enhanced blood affinity and
bone-forming potential
We use Osstem’s premium SOI implant line, which improves initial bone formation through rapid blood wetting and increased protein adhesion.
-
SA
-
SOI
One of the keys to long-lasting implants
07
POINT
A 3D intraoral scanner that eliminates conventional impressions.
From diagnosis to treatment,
digital technology makes care more convenient.
At Seoul The Nature Dental Clinic, a 3D intraoral scanner enables more accurate and more comfortable care.
Experience the comfort of
digital dentistry for yourself.
-
-
-
Traditional Impression Taking
-
Stone Model Fabrication
-
-
-
Higher risk of measurement error
-
-
Simple Scanning Process
-
-
Precise data acquisition
-
-
Higher risk of measurement error
-
Traditional Impression Taking
-
Stone Model Fabrication
-
-
Precise data acquisition
-
Simple Scanning Process
Without conventional rubber impression material,
teeth can be scanned easily using a digital method,
and the scanned data allows the fabrication of
more precise prostheses with reduced error.
![]() |
Category |
![]() |
Conventional Impressions |
Method |
3D Intraoral Scanner |
5 to 15 minutes |
As little as 30 seconds (average 3 minutes) |
Time Required |
Not highly accurate (differences may occur depending on patient bite force) |
Accuracy |
High (real-time scan with high-resolution video, capturing patient information directly) |
Manual work by a dental technician |
Design |
Computer-aided design (CAD) |
Additional visit required after stone model fabrication |
Need for Return Visit |
Consultation possible on the same day as impression taking while reviewing the model |
Yes (long holding time, unpleasant texture, smell, gag reflex) |
Patient Discomfort |
Minimal (teeth scanned in a short time using a small scanner tip) |
08
POINT
Full-mouth implants are highly advanced treatment
that require precise upper and lower occlusal harmony.
Patients themselves have proven us to be
a clinic specialized in full-mouth implant surgery.
Full-mouth implants are among the more complex dental procedures. They require careful decision-making, precise diagnosis based on each individual condition, and ongoing postoperative care after placement. With extensive experience in full-mouth implant treatment, Seoul The Nature Dental Clinic can provide systematic planning, placement, and follow-up care. Many patients continue to visit us through recommendations as a trusted clinic for full-mouth implants.
Dentures VS Full-Mouth Implants
![]() |
Category |
![]() |
Removable |
Usage Method |
Fixed |
Weak (requires adhesive) |
Retention |
Strong (does not come out) |
40% of natural teeth |
Chewing Force |
90% of natural teeth |
Requires periodic care due to jawbone resorption |
Maintenance |
Similar to caring for natural teeth |
Jawbone resorption occurs |
Long-Term Outcome |
Jawbone is preserved |
Limited |
Food Choices |
Similar to natural dentition |
Moves inside the mouth |
Mobility |
Does not move |
09
POINT
More trustworthy implant care, patent application filed
Through extensive implant clinical experience and research, Seoul The Nature Dental Clinic has filed a patent application for a "Dental Implant Unit and Procedure Method and System Using the Same." (Application No. 10-2019-0059169)
Seoul The Nature Dental Clinic
is a clinic specialized in dental implants.
-
Advanced Implant Surgical Center
Even patients with highly complex surgical conditions are not turned away. Based on extensive experience in advanced implant cases, we provide the most appropriate implant solutions.
-
Implant Revision Referral Clinic
Using advanced equipment and extensive clinical expertise, our specialists identify the exact cause of implant failure and provide precise solutions through detailed analysis.
-
A clinic recommended by our own staff to their families
We strive to provide the highest level of satisfaction in equipment, systems, and medical expertise, so that we can confidently recommend our clinic to those closest to us.
From implant roots to abutment and crown
Personalized Implants for You
Customized Implant Fixture
Carefully Selected Brands 100% Genuine Products
-
Osstem Implant
-
DIO Implant
Customized Abutment
Custom Abutment System
-
Conventional Method
Gap may occur between prosthesis and abutment, causing instability
Uneven force distribution increases risk of prosthetic fracture
Food debris may accumulate between implant and gum, increasing risk of peri-implantitis
Seoul The Nature Dental Clinic
Lower risk of detachment or fracture
Less food impaction
Helps prevent peri-implantitis
Customized Prosthesis
Zirconia – The Diamond of Dental Prosthetics
PFM Prosthesis
VS
Zirconia Prosthesis
Outer – Porcelain
Inner – MetalMaterial
Zirconia Block
Dark metal line visible along gum margin
Esthetics
Similar to natural teeth,
no dark lineStrong inner structure
but weak outer layerStrength
Stronger and more durable
than gold or ceramic-
We use strong and highly aesthetic premium zirconia crowns that resemble natural teeth.
Zirconia is often called the diamond of dental prosthetics. It provides excellent strength and aesthetics. Since it is entirely ceramic, it does not cause dark discoloration around the gum line.
-
Customized Anesthesia
Pain Control & Sedation System
Are you postponing implants due to pain or fear? Seoul The Nature Dental Clinic offers comfortable implant treatment.
-
An anesthesia device that reduces syringe pressure to minimize injection pain
-
An anesthesia ampoule warmer that adjusts anesthetic temperature close to body temperature to reduce discomfort
-
A sedation anesthesia system that allows comfortable implant placement through conscious sedation
Our treatment warranty system
provides extra peace of mind.-
-
Authenticity Certificate Issued
Warranty & After-Service System
Lifetime Dental Care System
Regular Recall Service
Periodic Oral Hygiene Education
All warranty services apply when patients follow the clinic's care instructions and attend scheduled follow-up examinations.
MOHW-Certified Specialists
provide your care.Seoul The Nature Dental Clinic is committed to advanced dental treatment.



