SEOUL THE NATURE

We are confident
in even the most complex cases.

Because it's not our first time, we approach every case with even greater care.
Seoul The Nature Dental Clinic will think it through on your behalf.

  • We handle cases with multiple implants as well as complex revision surgery cases.

    HIGH LEVEL TECHNIC

Full-Mouth Implant Restoration

Implant treatment for comprehensive full-arch restoration

This implant option is chosen to fully restore dental function. When missing teeth have been left untreated for an extended period,
the alveolar bone volume in both the maxilla and mandible is often insufficient. Therefore, a precise surgical plan must be established
with careful consideration of each patient's overall health condition.

  • BEFORE: 2022.12.15

  • AFTER: 2023.02.23

  • BEFORE: 2022.12.15

  • AFTER: 2023.02.23

  • BEFORE: 2022.12.15

  • AFTER: 2023.02.23

Sinus Lift (Sinus Augmentation)

We build up the bone where needed, even when alveolar bone is insufficient.

The maxillary sinus is an air-filled cavity located on either side of the nose, just above the upper alveolar bone, and is lined by a thin membrane. When placing implants in the upper posterior molar region, insufficient alveolar bone in this area may cause the implant to penetrate into the sinus cavity. To prevent this, a surgical procedure called sinus lift (sinus augmentation) is performed — which involves elevating the thin sinus membrane and grafting bone material into the space beneath it.

  • BEFORE: 2021.02.01

  • AFTER: 2021.05.13

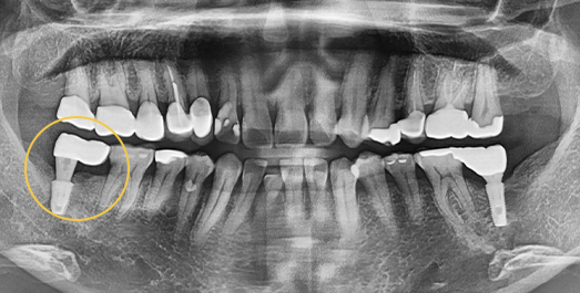
Implant Revision Surgery

Revision implant surgery is more challenging
and complex than the original procedure

Improper implant surgery or inadequate implant maintenance can lead to complications accompanied by pain. Implant revision surgery involves removing the existing implant, rebuilding the alveolar bone, reshaping the gingival contour,
and placing a new implant in the correct position.

Candidates Who May Require Revision Surgery
  • Cases where alveolar bone has resorbed due to peri-implantitis

  • Cases where the implant was placed incorrectly

  • Cases where an existing implant has become mobile

  • Cases where implants were placed too close together, causing inflammation

  • BEFORE: 2021.11.02

  • AFTER: 2022.01.19

An implant placed at another clinic was found to be significantly mispositioned,
requiring revision surgery to correct the placement to the proper position.

Consultation

Quick Consultation