SEOUL THE NATURE

Wisdom Tooth Extraction

Are you still searching for the right clinic for troublesome wisdom teeth?
We provide university hospital-level wisdom tooth extraction care in Myeongil.

  • WISDOM TOOTH

    Should wisdom teeth be extracted?

    Some wisdom teeth erupt normally, but others may erupt at an angle, horizontally, or remain fully impacted. Wisdom teeth that do not erupt properly can disturb the dental arch and are difficult to clean, which may lead to decay of adjacent molars. In such cases, extraction is recommended.

Complex wisdom tooth cases, Seoul The Nature Dental Clinic
does not give up.

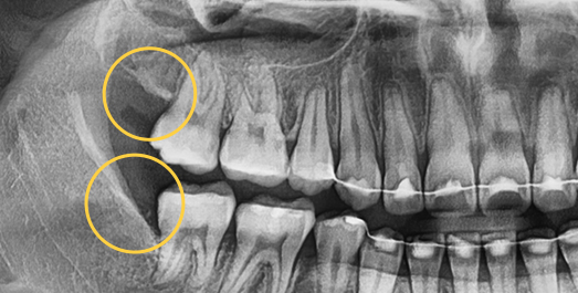
  • Horizontally
    impacted wisdom tooth

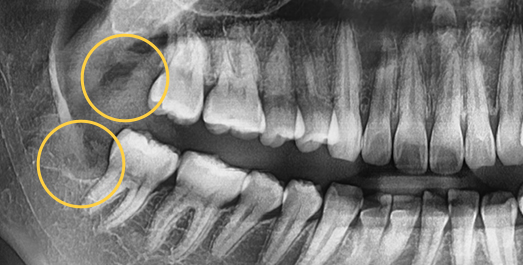
  • Angulated
    impacted wisdom tooth

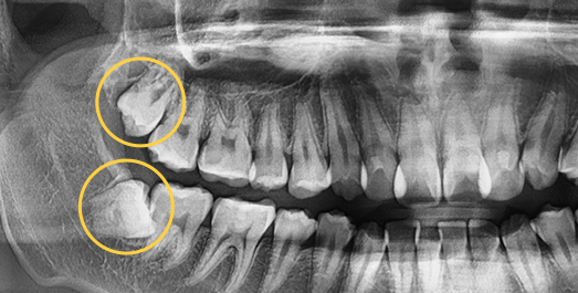
  • Vertically
    impacted wisdom tooth

Wisdom Tooth Extraction Expertise at
Seoul The Nature Dental Clinic

  • 01

    POINT

    Wisdom tooth extraction by dental specialists

    MOHW-certified dental specialists consider the location of adjacent nerves and perform clean, precise extractions even in complex cases.

  • 02

    POINT

    Extraction technique with nerve considerations

    Using 3D CT, we evaluate the shape of the wisdom tooth, its roots, and surrounding nerves to support a safer extraction process.

03

POINT

To keep treatment comfortable,
pain-reduction solutions are applied

At Seoul The Nature Dental Clinic, anesthesia is provided through a step-by-step pain-reduction protocol,
and we use pain-minimizing anesthesia devices to reduce discomfort even during injection.

  • Mouth-rinse anesthesia before scaling

  • Topical anesthesia before gum treatment

  • Even injection pain minimized with pain-reducing anesthesia

  • Warm anesthetic solution close to body temperature

04

POINT

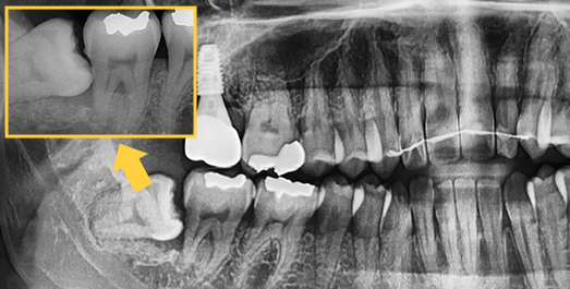
Even advanced cases
can be extracted.

With extensive experience in numerous advanced cases and a wide range of wisdom tooth extractions, you no longer need to go to a university hospital.

  • BEFORE
  • AFTER

Treatment Date : 2024.09.04

Treatment Date : 2023.12.22

Treatment Date : 2024.05.28

05

POINT

Precautions after wisdom tooth extraction

Please understand the post-extraction instructions carefully.
Patient cooperation is important.

After extraction, avoid bathing in a tub, alcohol consumption, and strenuous exercise. Showering is allowed.

Do not touch the extraction site with your fingers or tongue. Bite firmly on the gauze for about 2 hours, and swallow saliva and blood rather than spitting.

If bleeding does not stop or occurs intermittently, roll clean gauze or cotton firmly, moisten it with clean water, and bite on it for another 20 to 30 minutes.

Slight oozing rather than active bleeding may normally continue for one to two days after extraction.

Because local anesthesia was used, the lips and tongue may remain numb for about 2 to 3 hours.

For about one day after extraction, eat soft foods and chew on the side opposite the extraction site. Avoid overly rough or irritating foods.

Rest as much as possible for the first day, and apply cold compresses for 1 to 2 days.

If swelling gradually worsens afterward, revisit the clinic for disinfection treatment and medication, and begin warm compresses.

Consultation

Quick Consultation