SEOUL THE NATURE
Navigation Implant
Using digital technology that previews your results before treatment,
we find the most optimal implant placement position for you.
-
-
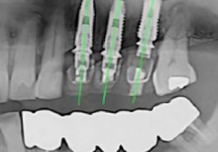
Preview your implant placement results through digital simulation surgery.
By integrating digital technology into the implant procedure, this is a systematic digital implant surgery method that enables precise identification of the optimal placement position.
DIGITAL IMPLANT
SEOUL THE NATURE
Navigation Implant
Just like a GPS navigation system that guides you on the right path,
our Navigation Implant uses digital technology to map out the optimal surgical route.
Through 3D simulation surgery, we precisely determine the implant placement position
for a systematic digital implant procedure with zero margin for error.
-
Conventional Implant
Difficulty achieving optimal angulation during placement
-
Digital Implant
Balanced with opposing dentition for long-term implant function
Navigation Implant Procedure
-
3D Diagnosis via CT Scan
Using 3D data from CT imaging and dental models, we perform a comprehensive and precise diagnosis that considers bone, gingiva, and nerve anatomy.
-
Computer-Based Surgical Planning
We perform a virtual simulation surgery on the computer to determine the precise placement position, then fabricate a custom surgical guide for accurate execution.
-
Guide-Assisted Surgery
The custom surgical guide is seated intraorally prior to surgery, enabling systematic placement at the planned position with minimal margin of error.
Natural implant placement at the simulation-planned position, with a prosthesis that feels just like your own natural tooth.
Surgery is performed through a small access opening just large enough for implant placement — without gingival incision — offering the advantage of minimal pain and faster recovery.
We won't miss even
a 0.01mm margin of error.
-
Detailed analysis of bone tissue and nerve location
-
Precise selection of optimal implant position
-
Fast and streamlined treatment process
-
Minimally invasive procedure with reduced bleeding, pain, and swelling for faster recovery
-
Systematic Digital Implantology
At Seoul The Nature Dental Clinic, we utilize 3D digital equipment to evaluate each patient's oral condition in detail — including tooth root length, morphology, alveolar bone thickness, and bone density. We develop a fully customized implant placement plan tailored to each patient.
MOHW-Certified Specialists
provide your care.
Seoul The Nature Dental Clinic is committed to advanced dental treatment.