SEOUL THE NATURE
Aesthetic Treatment
Aesthetic treatment designed only for you A project to reveal your inner beauty
-
-
AESTHETIC TREATMENT
Anterior Resin Restoration
With minimal tooth reduction, natural tooth structure is preserved, and a durable design helps create a natural appearance similar to your own teeth.
The result depends on
who performs the treatment.
-
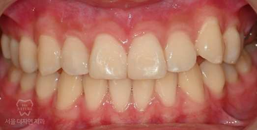
BEFORE: 2023.03.20
-
-
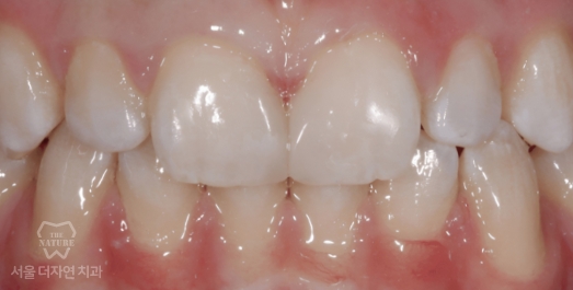
AFTER: 2023.03.20
-
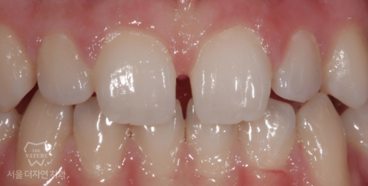
BEFORE: 2024.04.25
-
-
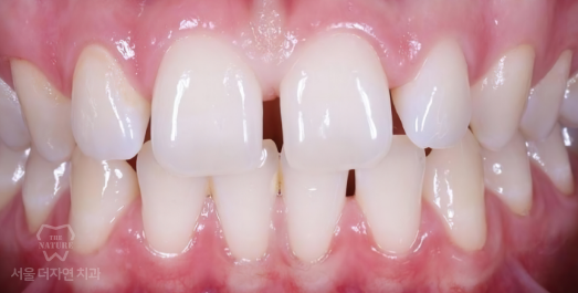
AFTER: 2024.04.25
-
BEFORE: 2024.05.28
-
-
AFTER: 2024.05.28
-
BEFORE: 2024.09.02
-
-
AFTER: 2024.09.02
Special Aesthetic Resin Treatment
That Preserves Natural Teeth
Accurate diagnosis and a detailed treatment plan based on clinical expertise
are essential.
-
Completed in One Visit
Treatment can be completed in a single visit.
-
Natural Anterior Teeth
The color is matched to the surrounding teeth to restore a natural appearance.
-
Minimal Tooth Reduction
Compared with other treatments, less healthy tooth structure is removed.
-
Reasonable Cost
Because resin treatment does not require a separate prosthesis fabrication process, the overall cost is relatively affordable.
MOHW-Certified Specialists
provide your care.
Seoul The Nature Dental Clinic is committed to advanced dental treatment.