SEOUL THE NATURE
Rapid Anterior Orthodontics
Without touching the molars, fast and precise orthodontic correction of the front teeth is possible.
-
Rapid Anterior Orthodontics for correcting malocclusion — a remarkable transformation
in just 3 months.
Types of Rapid Anterior Orthodontics
-
2D Braces
-
MTA Braces
-
Clippy-C Braces
-
Clear Aligner
The secret to looking beautiful, fast — a rapid aesthetic transformation is possible.
Anterior partial orthodontics involves placing brackets selectively on misaligned front teeth, enabling a fast and noticeable aesthetic improvement. As it targets only the areas that need correction, this is a highly efficient orthodontic method preferred by many patients.
-
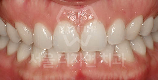
BEFORE: 2021.05.24
-
-
AFTER: 2023.04.27
MOHW-Certified Specialists
provide your care.
Seoul The Nature Dental Clinic is committed to advanced dental treatment.