![]() |
구분 |
![]() |
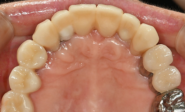
가철식 |
사용 방식 |
고정식 |
약함 (접착제) |
고정력 |
단단함 (빠지지 않음) |
자연치아의 40% |
씹는 힘 |
자연치아의 90% |
잇몸뼈 흡수로 주기적 관리 |
관리 |
자연치아 관리와 유사 |
턱뼈가 흡수됨 |
장기간 후 |
턱뼈가 유지됨 |
제한적 |
섭취 음식 |
자연치열과 비슷 |
입 안에서 움직임 |
움직임 |
입 안에서 |
SEOUL THE NATURE
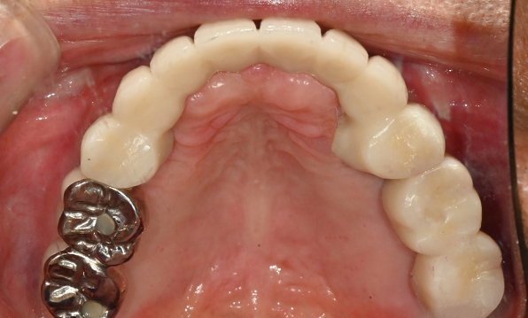
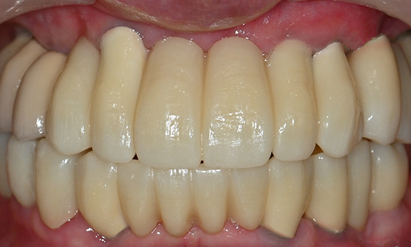
전체 임플란트
위 아래 치아가 정확하게 맞아야하는 고난이도 임플란트
임상 경험이 많은 숙련된 전문의의 섬세한 기술력이 중요합니다.
-
치아가 하나도 남아있지 않거나 전체적으로 상실된 경우 추천합니다.
전체 임플란트가 필요한 경우
치아가 얼마 남아있지 않은 경우
치주질환이 심해, 치아가 있더라도 제 기능을 하지 못하는 경우
틀니 사용이 불편한 경우
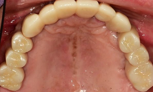
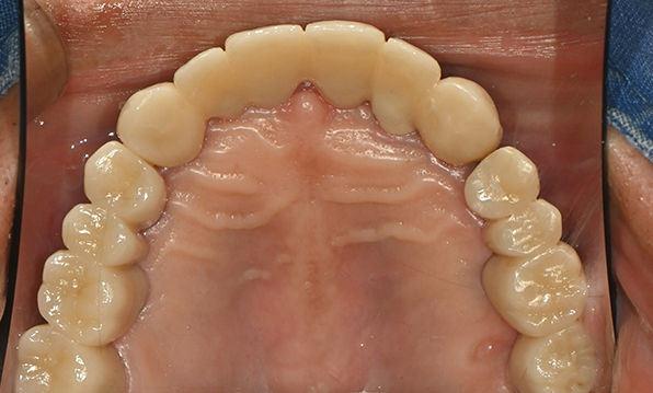
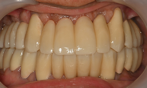
정확성 높은 식립의 노하우
3D 디지털 진단을 통한 체계적인 계획
전체 임플란트는 위턱과 아래턱의 교합, 잇몸뼈의 상태 및
얼굴 변화 등 모든 것을 고려해 식립해야 합니다.
서울더자연치과는 3D 디지털 기술의 정밀 진단을 바탕으로
수술 계획을 세워 수술을 집도합니다.
-
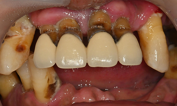
잇몸뼈가 얇은 상태
-
잇몸뼈 충분히 이식 후 임플란트 식립
성공을 위한 노하우, 잇몸뼈 재건 기술
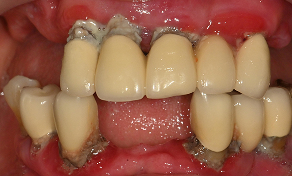
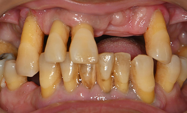
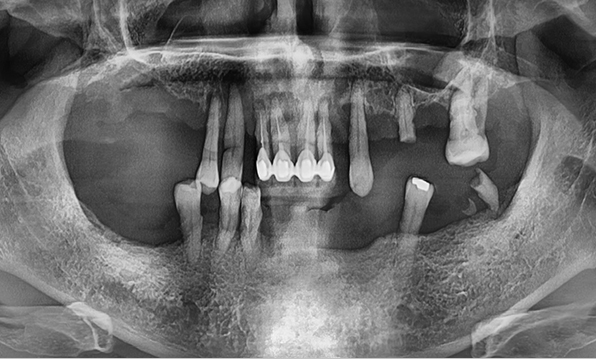
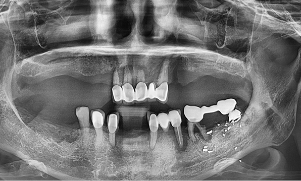
전체 임플란트를 해야하는 환자들은
대부분 고령의 환자들로 오랜 틀니 사용
또는 노화로 인해 치조골이
거의 남아있지 않는 경우가 많습니다.
이 때, 치조골 이식을 병행하여 잇몸뼈 재건 후 안정적인 임플란트 식립을 하고 있습니다.
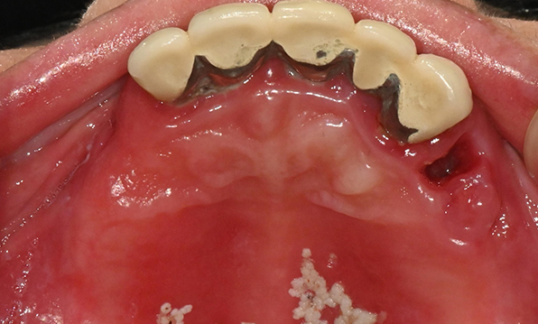
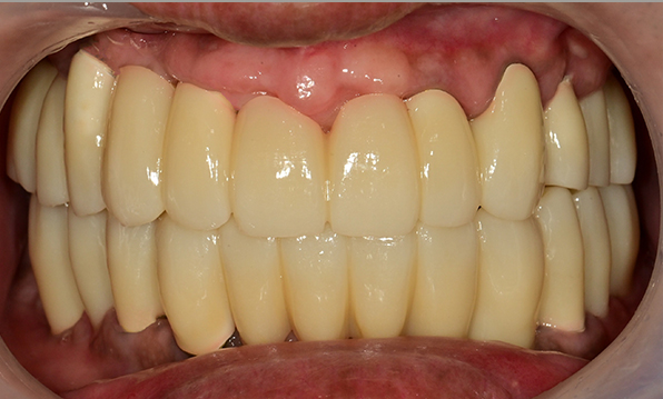
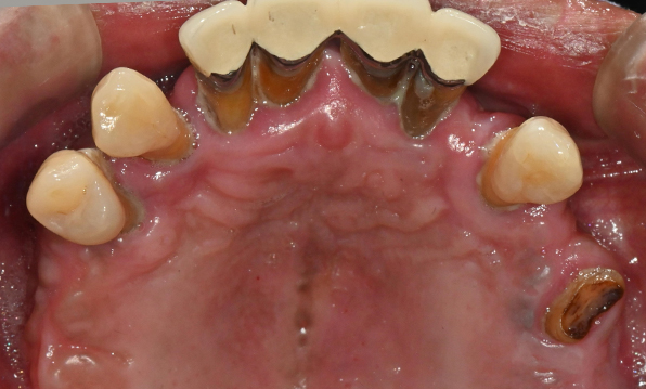
치료기간 : 2021.04.12~2021.09.15
틀니 VS 전체 임플란트
여러 개 식립이
부담될 때는 수면 임플란트
전체 임플란트를 식립하는 경우 많은 분이
치과 공포증으로 임플란트 수술을 두려워하시는 경우가 많으며,
전신질환 및 고령으로 긴 수술 시간에 부담을 가지시기도 합니다.
서울더자연치과는 수면내시경과 같은
수면치료로 편안한 식립이 가능합니다.
보건복지부 인증 전문의가
진료합니다.
서울더자연치과는 수준 높은 치료를 약속드립니다.

