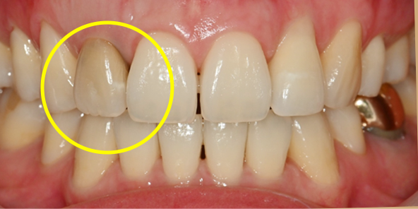
기존 임플란트
SEOUL THE NATURE
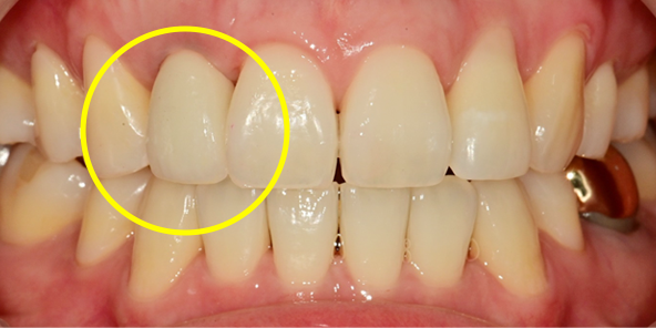
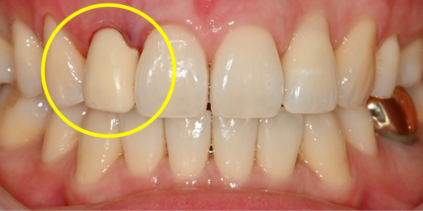
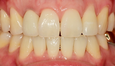
하루 완성 임플란트
-
임플란트를 식립하고 동시에 보철물도 완성해드립니다.
내원 당일 이루어지는 임플란트 기술력! 하루 완성 임플란트는 당일에 식립하고
임시 보철물까지 완성됩니다.
ONE DAY IMPLANT
어떻게 당일 식립 & 보철물이
가능한가요?
-
3D 모의 수술로 최적 식립 위치 계산
-
일상생활이 가능하도록 임시 보철물 완성
-
회복이 빠른 최소 절개 식립
3차원 CT사진과 구강스캐너를 이용하여
미리 가상의 수술을 거쳐서 수술 위치를 정하고
수술 후 상부 위치까지 예측해서
미리 보철물을 만들어 두었다가
당일 수술 후 보철물을 붙이는
네비게이션 임플란트 방식입니다.
압도적인 시간 단축,
하루 완성 임플란트
분류
발치
임플란트 식립
골 유착 후
지대주 연결
보철물
약 1~3개월 소요
하루 완성 임플란트
당일 완료
(수술 즉시
보철물 완성)
하루 완성 임플란트 가능한 조건
수술할 부위 치아 주변의 치주골 손상이 적은 경우
발치하는 치아 뿌리 끝 주변의 잇몸뼈가 튼튼한 경우
식립할 부위에 뼈의 양이 충분한 경우
발치 및 식립 부위에 염증이 적거나 거의 없는 경우
하루 완성 임플란트는 환자분의 잇몸뼈 상태에 따라
수술 가능 여부가 결정됩니다.

보건복지부 인증 전문의가
진료합니다.
서울더자연치과는 수준 높은 치료를 약속드립니다.