SEOUL THE NATURE
검게 변한 잇몸
-
잇몸이 검게 보여 미소가 어색해질 때
검게 변한 잇몸 개선치료
밝은 치아인데도 잇몸이 어둡게 보인다면 그 원인은 치아 내부 변색일 가능성이 높습니다. 이러한 경우에는 내부에서 일어난 변색 원인을 제거한 후 자연치아와 유사한 색조를 띠는 재료를 이용해 치아를 복구합니다.
RE-CROWN
왜 잇몸이 검게 보일까요?
신경치료를 받은 치아는 시간이 지나면서 내부에서 변색이 진행됩니다.
이때 기존 크라운이나 재료의 영향으로
빛이 비치면서 잇몸이 푸르게 보일 수 있습니다.
겉으로 보이는 잇몸 색의 문제는 실제로는 치아 내부에서 시작된 변화입니다.
신경치료를 받은 치아
신경치료 후 시간이 지나면서
치아 내부에서 변화가 시작됩니다.
치아 내부 변색
치아 내부 조직이 변색되며
어둡고 탁한 색조로 변합니다.
잇몸이 푸르게 보이는 현상
변색된 치아가 빛을 투과하면서
잇몸이 푸르거나 검게 보일 수 있습니다.
RE-CROWN 치료
RE-CROWN은 겉이 아닌 내부부터 바꾸는 치료입니다. 기존 크라운을 제거한 뒤 치아 내부의 변색 원인을 제거하고 자연치아와 유사한 색조로 복원한 후 세라믹 크라운으로 마무리합니다.
단순 크라운 교체
겉모습만 새 크라운으로 바꿔도 치아 내부 변색은 그대로 남아 있습니다.
-
치료 전
내부 변색으로 인해 잇몸이 푸르게 보임
- →
-
크라운 교체 후
겉의 크라운만 새것으로 교체
- →
-
시간 경과 후
내부 변색이 남아 있어 다시 푸르게 보임
한계
- ⊗ 내부 변색은 그대로
- ⊗ 일시적 개선에 그침
- ⊗ 재발 가능성 높음
RE-CROWN 치료
내부 변색 원인부터 제거해야 자연스럽고 오래 지속되는 결과를 얻을 수 있습니다.
-
크라운 제거
기존 크라운 제거
- →
-
내부 변색 제거
변색된 내부 조직 정리
- →
-
색조 복원
자연치아와 유사하게 복원
- →
-
새 크라운 완성
세라믹 크라운 마무리
결과
- ✔ 내부 원인 제거
- ✔ 자연스러운 색 회복
- ✔ 지속적인 개선
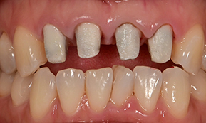
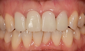
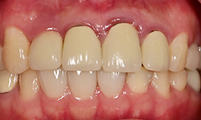
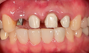
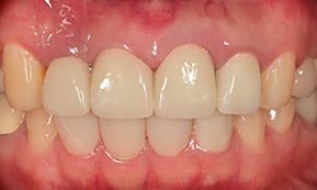
RE-CROWN 치료과정
과정부터 결과까지 실제증례로 확인해보세요.
![]() |
![]() |
![]() |
![]() |
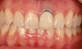
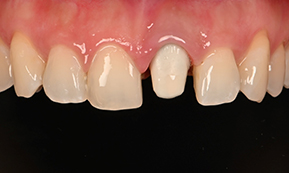
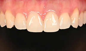
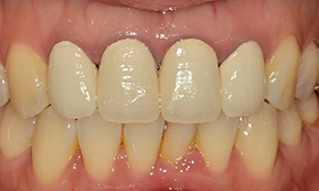
| BEFORE | 내부 변색 요인 제거 | 내부 복원 | AFTER (세라믹 크라운) |
![]() |
![]() |
![]() |
![]() |
| BEFORE | 내부 변색 요인 제거 | 내부 복원 | AFTER (세라믹 크라운) |
![]() |
![]() |
![]() |
![]() |
| BEFORE | 내부 변색 요인 제거 | 내부 복원 | AFTER (세라믹 크라운) |
보건복지부 인증 전문의가
진료합니다.
서울더자연치과는 수준 높은 치료를 약속드립니다.











