라미네이트 |
구분 |
잇몸 / 치아성형 |
치아의 형태에 따라 |
시술 방법 |
치아 표면만을 삭제하여 고른 치아를 만드는 방식 |
적음 |
삭제량 |
치아 끝만 삭제, 잇몸 삭제 |
소량의 삭제로 |
특징 |
치아 손상이 전혀 없이 |
부드러운 곡선과
치아의 폭과 길이를
1 : 0.8 비율을 유지하여
동안 치아를 만들어 줍니다.
중앙앞니, 가쪽앞니,
송곳니 폭을
1.6 : 1 : 0.6 비율로 유지하여
가장 이상적인 치아 간격을
만들어 줍니다.
라미네이트 |
구분 |
잇몸 / 치아성형 |
치아의 형태에 따라 |
시술 방법 |
치아 표면만을 삭제하여 고른 치아를 만드는 방식 |
적음 |
삭제량 |
치아 끝만 삭제, 잇몸 삭제 |
소량의 삭제로 |
특징 |
치아 손상이 전혀 없이 |
POINT
치아 상태 확인 후 현재 상태를 파악하고 시술 계획을 세웁니다.
POINT
치석, 니코틴 등으로 지저분한 치아를 깨끗하게 정리합니다.
POINT
울퉁불퉁한 치아 끝 라인을 가지런하고 예쁘게 교정하고, 잇몸성형으로 일정한 잇몸 라인으로 만들어 줍니다.
POINT
밝고 가지런한 치아를 빠른 시간에 완성합니다.
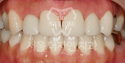
BEFORE: 2022.09.12
BEFORE: 2023.01.12
BEFORE: 2023.03.22
BEFORE: 2023.04.08
서울더자연치과는 수준 높은 치료를 약속드립니다.